インプラント治療後にMRI検査は受けられる?知っておきたい注意点
インプラント治療を受けた後に、病院でMRI検査が必要になった場合「金属が入っていても大丈夫だろうか」と不安に感じる方は少なくありません。MRIは強い磁気を使う検査のため、体内の金属との関係が気になるところです。実際には多くのケースで検査は可能とされていますが、いくつか知っておきたいポイントがあります。今回は、インプラント治療後のMRI検査について、基本的な考え方と注意点を、東新宿の歯医者「東新宿じ...
インプラント治療ができない人の特徴とは?できない場合の対処法も解説
歯を失った際の治療法として、インプラント治療は、見た目や噛む機能の回復が期待できる治療法として知られていますが、すべての方が受けられるわけではない点には注意が必要です。体の状態やお口の環境、生活習慣などによっては、インプラント治療が適さないケースもあります。今回は、インプラント治療ができない人の特徴や、できない場合の対処法、さらに治療を検討する前に知っておきたいポイントについて、東新宿の歯医者「東...
インプラント治療で歯ぐきに隙間ができる?その原因と対策を解説
インプラントは、失った歯を補うための治療法として多くの方に利用されていますが、治療後しばらくしてから「歯ぐきとの間に隙間ができた」「歯ぐきが下がってインプラントの土台が見えてきた」といったお悩みを抱える方も少なくありません。今回は、インプラント治療後に歯ぐきの隙間ができる主な原因や、それによって起こるリスク、そしてできるだけ歯ぐきを下げずにインプラントを長持ちさせるための対策について、東新宿の歯医...
インプラントは何歳から何歳まで可能?年齢制限と高齢者の注意点
インプラントは見た目や噛む機能を回復する治療法として、多くの方に選ばれています。しかし「年齢的に治療できるのか」と不安を感じる方も少なくありません。成長期の若年層や高齢の方には、それぞれ異なる注意点があります。今回は、インプラントが何歳から可能なのか、何歳まで治療を検討できるのか、そして高齢者が治療を受ける際の注意点について、東新宿の歯医者「東新宿じん歯科」が解説します。 1. インプラントは何歳...
インプラント・ブリッジ・入れ歯それぞれの特徴と治療方法とは
歯を失ってしまった場合、食事や会話に支障をきたすだけでなく、見た目や噛み合わせにも影響が出ることがあります。そうした歯の欠損に対する治療法としては、インプラント、ブリッジ、入れ歯の3つが主に選ばれています。それぞれの治療には特徴があり、適応となるケースや治療の進め方、注意点などが異なります。今回は、インプラント、ブリッジ、入れ歯の特徴や治療方法について、東新宿の歯医者「東新宿じん歯科」が解説します...
年末のご挨拶と休診日のお知らせ
本年はありがとうございました 東新宿じん歯科は、2025年10月7日の開院からこれまで、たくさんの患者さまにご来院いただきました。 初めての場所に足を運んでくださった皆さま、継続して通ってくださっている皆さま、本当にありがとうございます。 地域の方々の温かさを日々実感しながら、診療にあたらせていただいております。 これからも「通いやすく、相談しやすい歯医者」として、 患者さまお一人おひとりに合わせ...
インプラント治療中に歯がない期間はある?仮歯を使用した治療の流れ
インプラント治療は、失った歯の機能や見た目を補う方法として広く知られています。しかし治療には数か月の期間を要し、その間「歯がない状態で過ごすのでは」と不安を感じる方も多いのではないでしょうか。そこで役立つのが「仮歯」の存在です。仮歯は治療期間中に見た目や噛む機能を補う役割を担い、治療を進めるための大切な工程でもあります。今回は、インプラント治療中に歯がない期間があるのかどうか、そして仮歯を使用した...
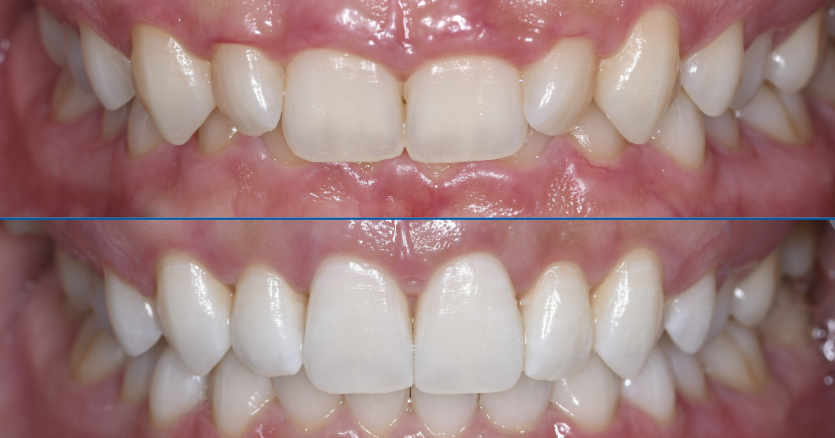
【症例】20代女性 ガミースマイル
【症例紹介】ガミースマイル治療 患者様は20代女性。 笑顔になったときに見える歯ぐきの露出が気になるとのことでご相談にいらっしゃいました。 治療前 治療後 治療前 治療後 数回の治療により、自然な笑顔が実現されました。 術名 クラウンレングスニング 年齢・性別 20代女性 主訴 笑うと歯ぐきが目立つのが気になり、思いきり笑えない 診断名 受動的萌出不全によるガミースマイル 治療内容 歯肉および...
インプラント手術は痛い?治療中・治療後に痛みを感じやすいタイミング
歯を失った際の治療法として選ばれることがあるインプラントですが、「手術は痛いのではないか」と不安に感じる方も多いのではないでしょうか。手術を伴う治療であるため、痛みがまったくないとは言いきれませんが、麻酔や術後のケアによって負担を軽減できるように配慮されています。今回は、治療中および治療後に痛みを感じやすいタイミングや、その背景について、東新宿の歯医者「東新宿じん歯科」が解説します。 ...
根管治療後に痛いのはなぜ?いつまで続く?原因と対処法を解説
根管治療(こんかんちりょう)は、むし歯が神経まで進行した際に行われる治療のひとつで、歯の根の中を清掃・消毒し、細菌の再感染を防ぐ目的があります。しかし、治療後に痛みや違和感が続くことがあり、不安に感じる方も少なくありません。実際には、治療内容や体の反応によって一時的に痛みが出ることがあり、すべてが異常とは限りません。今回は、根管治療後に痛みが出る理由やその経過、対処法について東新宿の歯医者「東新宿...